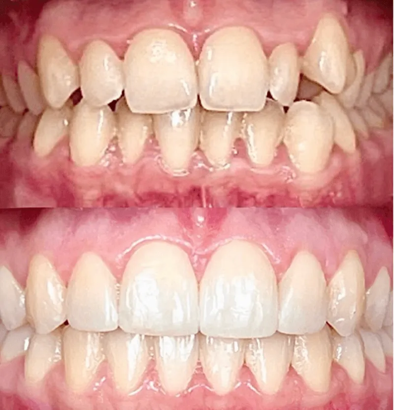
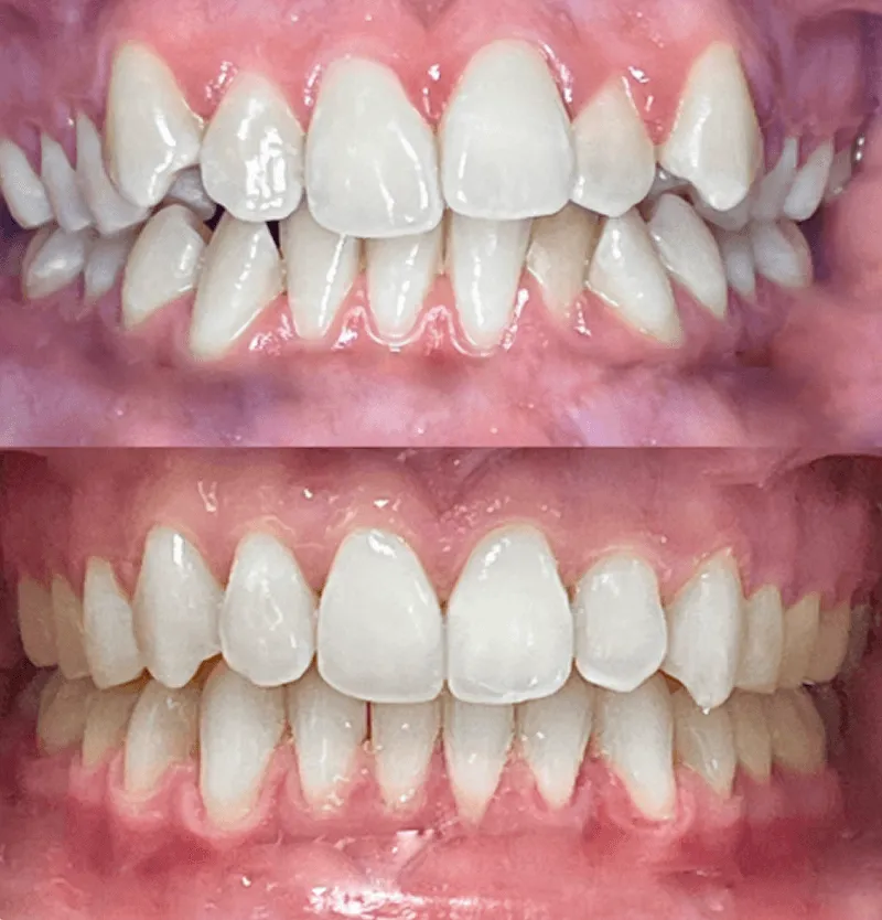
Do you dream of straight teeth, but don't want to wear traditional metal braces? Invisalign® treatment uses discreet, transparent aligners that effectively correct your bite without wires or brackets. Thanks to modern technology, orthodontic treatment is now more comfortable, aesthetic, and predictable than ever before.
At our clinic, Invisalign® treatment begins with something unique - a precise 3D simulation of the tooth movement plan. Thanks to the advanced ClinCheck® planning system, we can accurately plan each stage of therapy and show the patient what their smile will look like after treatment.
Everyone considering Invisalign® treatment at Stomatologia na Podzamczu receives an individual 3D treatment simulation, which presents:
how their teeth will move in subsequent stages,
how their smile line will change,
what the expected end result will be.
This is not a general visualization. An individual, personalized treatment plan based on a 3D digital scan of your mouth is standard practice at our clinic. This allows you to make an informed decision-you can see what your smile will look like before you start treatment.
This is a huge advantage of Invisalign® over traditional orthodontic methods, where the final result remains unknown until the end of treatment.
See how treatment simulation works
INVISALIGN® DIAGNOSTIC PACKAGE - NOW ONLY PLN 1550
Starting orthodontic treatment has never been so easy and so affordable.
We have prepared a comprehensive diagnostic package at a promotional price for new patients.
Instead of paying for each stage separately, you get a full diagnosis at a single, reduced price.

Invisalign® consultation
regular price: PLN 350
Cephalometric X-ray (CEPH)
regular price: PLN 150
Panoramic X-ray (OPG) regular price: PLN 195
Digital 3D scanning
regular price: PLN 350
CBCT digital tomography
regular price: PLN 590
Individual treatment plan (ClinCheck®)
regular price: PLN 550
YOU SAVE PLN 635!
The number of places covered by the offer may be limited.
The Invisalign® system is based on a set of individually computer-designed aligners that gently and gradually move the teeth into their planned positions. Treatment begins with a digital 3D scan of the patient's mouth and a specialized photo session. Based on this, a treatment plan and a set of aligners are created - each aligner is worn for about 10-14 days and introduces a subtle but controlled change in the position of the teeth.
The Invisalign® system consists of a set of two transparent, individually fitted aligners made of a thin, flexible, and medically safe material called SmartTrack®, which is almost completely invisible, allowing patients to straighten their teeth without disrupting their everyday appearance. The aligners fit snugly over the teeth and have no metal components, which makes them extremely comfortable to wear - no rubbing, no loose brackets, no broken wires, no pain and no irritation. This is the essence of modern orthodontics.
Each aligner is part of a well-thought-out treatment plan, and their regular, sequential replacement allows teeth to be effectively moved into the correct position.
In addition, to increase effectiveness, the dentist may place so-called attachments on the surface of some teeth - small tooth-colored composite protrusions that work with the aligner to enable precise tooth movement in more difficult cases.
Invisalign® aligners are lightweight, smooth, and easy to clean. They can be removed during meals and tooth brushing, which significantly improves the quality of daily oral hygiene and comfort of life (including social life) throughout the entire treatment.

Both solutions are effective and lead to similar end results, but the treatment process is completely different.
Fixed braces - i.e., the traditional system with metal brackets and an archwire - are a proven method of treating even very complex malocclusions. However, their main disadvantage is their visibility and discomfort. The wires and brackets can cause irritation to the mucous membrane, and daily oral hygiene can be difficult. Classic braces, due to the fact that they can only be activated during check-ups, involve the application of very high forces to move the teeth, which causes pain and can result in tooth root resorption. In addition, many people, especially adults, avoid classic braces for aesthetic reasons.Invisalign®, on the other hand, is an almost invisible and much more comfortable solution.
The transparent aligners can be removed, which makes eating, drinking, and maintaining hygiene easier. Invisalign uses smaller forces, distributed evenly over time, as activation occurs when each new aligner is put on, i.e., every 10-14 days. This results in gradual, gentle pressure on the teeth, eliminating severe pain and protecting the structures surrounding the tooth from excessive overload. It is an excellent choice for professionally active people who value discretion and aesthetics in treatment.
If you care about aesthetics, comfort, and a modern approach to treatment, Invisalign® may be the better choice. However, for very complex malocclusions, classic braces may be necessary. Based on a clinical examination and 3D diagnostics, the attending physician will recommend the most appropriate treatment method for your individual case.
An individual Invisalign® 3D simulation gives you full awareness of the effect even before starting therapy.
Invisalign® is not just a fashionable choice - it is a thoughtful investment in a healthy, beautiful smile. Unlike traditional braces, this aligner system meets the needs of today's patients: those who want to improve their bite without sacrificing comfort, aesthetics, or their daily routine.

By choosing Invisalign®, you gain:
Modern technology based on digital planning and individual adjustment.
Discreet treatment that does not attract attention.
Control over the process - you can see the predicted end result even before starting therapy.
Freedom - removable aligners do not restrict your diet or hygiene.
Confidence - treatment does not negatively affect your appearance, speech, or social comfort.
It is the perfect choice for professionals, students, teenagers, and anyone who values comfort, aesthetics, and effectiveness all in one. Invisalign® gives you more than just straighter teeth - it gives you freedom that other orthodontic systems cannot provide.
Invisalign® treatment is a process planned with surgical precision. It consists of three main stages - from diagnosis, through active teeth straightening, to consolidation of the results. Each of these steps is carried out under the strict supervision of an orthodontist, using state-of-the-art diagnostic tools.
Treatment begins with an orthodontic consultation (cost: PLN 350), during which the doctor assesses the malocclusion and performs a full diagnosis. This includes, among other things:
A digital 3D scan of the teeth (cost: PLN 315),
Intraoral and extraoral photographs,
Panoramic X-ray (OPG) (cost: PLN 195),
Lateral teleradiograph (CEPH) - lateral image of the skull (cost: PLN 155)
Based on the collected documentation, a digital treatment plan is prepared - cost: PLN 550. This stage allows you to see a simulation of tooth movement and the expected final result even before the first aligner is fitted.
Invisalign® consultation
regular price: PLN 350
Cephalometric X-ray (CEPH)
regular price: PLN 150
Panoramic X-ray (OPG) regular price: PLN 195
Digital 3D scanning
regular price: PLN 350
CBCT digital tomography
regular price: PLN 590
Individual treatment plan (ClinCheck®)
regular price: PLN 550
YOU SAVE PLN 635!
The number of places covered by the offer may be limited.
At this stage, the patient receives a set of individual aligners, made on the basis of the prepared treatment plan. After placing the so-called attachments - small tooth-colored composite protrusions that help the aligners control tooth movement - the actual treatment begins.
The aligners should be worn for at least 20 hours a day, removing them only for eating and oral hygiene. Every 10-14 days, they should be replaced with the next ones, according to the schedule and recommendations of the attending physician. The number of aligners depends on the malocclusion.
The price of the set ranges from PLN 7,500 to PLN 17,000, depending on the number of aligners.
After completing active treatment, it is extremely important to consolidate the results achieved. This is done with retainers, i.e., transparent retention aligners, which:
Are worn for at least a month (more often for several months) - cost: PLN 1550 per jaw
Then a permanent retainer can be used - a thin wire glued to the inside of the teeth - cost: PLN 600 per jaw
Retention is an integral part of treatment, preventing the recurrence of the defect and allowing you to enjoy a beautiful smile for many years to come.
Choosing an experienced provider is crucial. In Szczecin, Stomatologia na Podzamczu stands out - a modern clinic that combines many years of experience with advanced diagnostics and an individual approach to each patient.
Stomatologia na Podzamczu is a certified Invisalign Provider® clinic in Szczecin, offering comprehensive aligner treatment - from precise diagnostics and individual treatment plans to monitoring results and retention.
Patients have access to:
modern intraoral scanners
full on-site X-ray diagnostics
care from an orthodontist with experience in Invisalign® treatment
professional, remote support from a team of medical specialists at every stage of treatment

The dentistry team at Stomatologia Na Podzamczu has joined the prestigious Falkowski Network program - a nationwide aligner treatment system supervised by Dr. Mateusz Falkowski - a certified Invisalign® doctor with the highest level of competence (Top 1% Invisalign Provider - Diamond Apex, i.e., 1% of the best INVISALIGN specialists in the world).
This means constant professional supervision provided by a team of certified Invisalign® trainers.
Thanks to this standardized cooperation, we can guarantee that:
each clinical case can be consulted with a highly qualified expert, which increases the safety and effectiveness of the therapy
patients receive double support - from their orthodontist and an expert supervisor who monitors the proper course of treatment
it is possible to optimize the treatment of more difficult cases that could previously have been excluded from aligner therapy.
The level of aligner treatment that was previously available mainly in large clinical centers is now also available in Szczecin - at Stomatologia na Podzamczu.
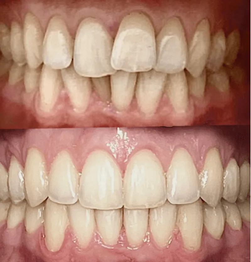
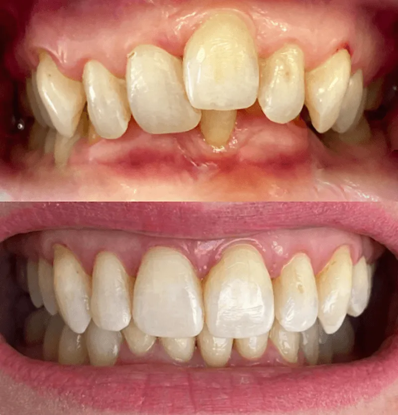
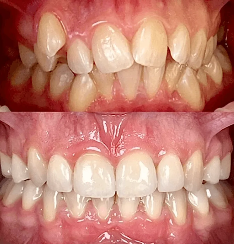
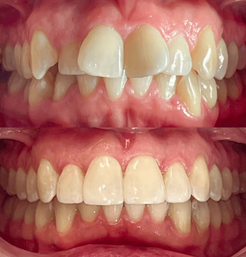
Patient reviews speak for themselves. People who have completed treatment most often emphasize:
the comfort of wearing aligners - “I practically forgot I had them on,”
quick results - “I saw a difference after just a few weeks,”
excellent care - “every visit was calm and professional,”
complete discretion - “no one noticed that I was straightening my teeth.”
Invisalign® treatment at Stomatologia na Podzamczu is an experience that brings real results - not only visual, but also emotional: greater self-confidence, improved quality of life, and a smile without complexes.
The origins of Invisalign® date back to 1997, when two Stanford University students developed an innovative idea for straightening teeth without the use of metal braces. Their goal was to create a system that would be as effective as traditional orthodontics, but much more comfortable and aesthetic.
In 1999, Align Technology officially launched Invisalign® on the US market. Since then, the technology has undergone a tremendous evolution - from simple orthodontic cases to complete treatment of complex malocclusions. Today, Invisalign® has transformed over 21 million smiles worldwide, with the support of artificial intelligence, 3D planning, modern scanners, and SmartTrack® material, which guarantees predictable and effective tooth movement.
The system is constantly evolving - thanks to huge investments in research and development and collaboration with orthodontists around the world, Invisalign® is now one of the most advanced orthodontic solutions on the market.

FAQ
Dzięki Invisalign® wyprostowano już ponad 21 milionów uśmiechów na całym świecie - i każdego dnia dołączają kolejne. W Stomatologii na Podzamczu możesz być jednym z nich.
INVISALIGN® DIAGNOSTIC PACKAGE (for new patients) Savings: 635 PLN
(Total package value: 2185 PLN - details below)
1550 zł
Invisalign® consultation - 350 PLN
Digital 3D scanning - 350 PLN
Panoramic X-ray (OPG) - 195 PLN
Cephalometric X-ray (CEPH) - 150 PLN
CBCT digital tomography - 590 PLN
Digital treatment plan (ClinCheck®) - 550 PLN
Treatment plan INVISALIGN
INVISALIGN Express — up to 7 aligners
7500 zł
INVISALIGN LITE — up to 14 aligners
12000 zł
INVISALIGN MODERATE — up to 20 aligners
15000 zł
INVISALIGN COMPREVENSIVE — unlimited number of overlays
17000 zł
Retainers - overlays for one jaw / two jaws
1000 / 1550 zł
Standard retainer
600 zł